Segmentation Tools
Cornerstone3DTools provides a set of tools to modify segmentations. These include
the BrushTool, Scissors (such as RectangleScissor, CircleScissor, SphereScissor),
and RectangleRoiThresholdTool. We will cover each tool in more detail below.
All Segmentation tools can edit the segmentation in all 3D views (axial, coronal, and sagittal).
Brush Tool
BrushTool is the most commonly used tool for segmentation. It allows you to draw
segmentations by clicking and dragging (as seen below).
To use this tool, you need to add it to your toolGroup like any other tools. Read more on how to activate a tool in Tools and ToolGroup sections.

Rectangle Scissor Tool
RectangleScissorTool can be used to create a rectangular segmentation.

Circle Scissor Tool
CircleScissorTool can be used to create a circular segmentation.

Sphere Scissor Tool
SphereScissorTool can be used to create a spherical segmentation. It draws a 3D
sphere around the mouse pointer.

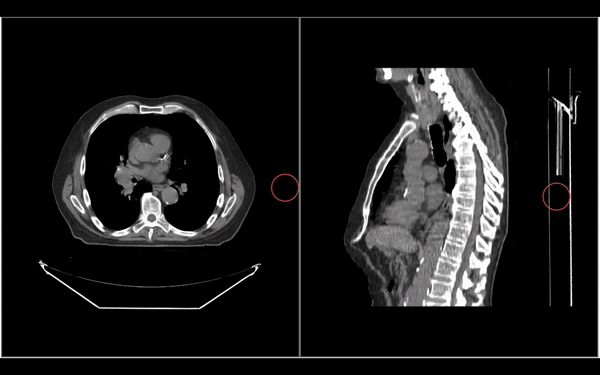
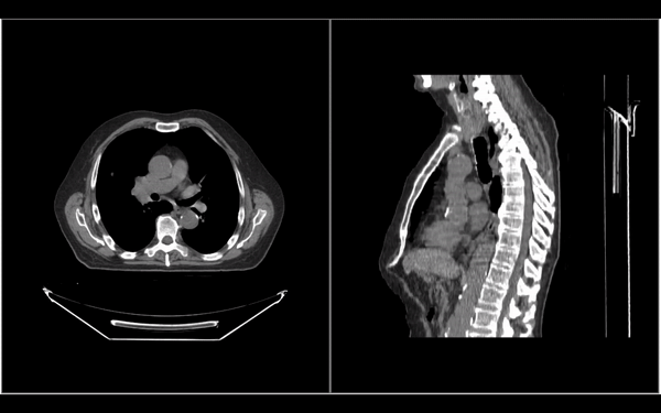
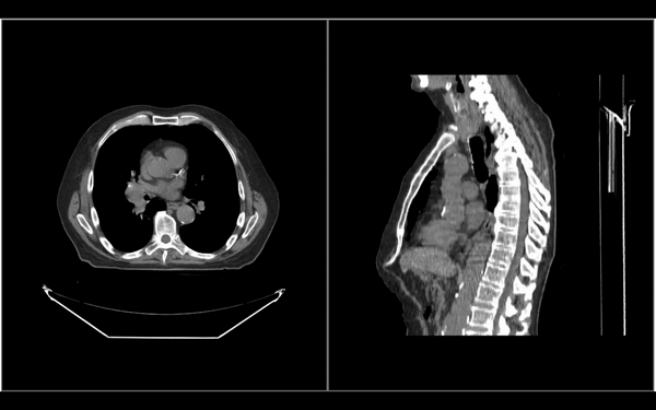
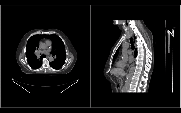
Threshold Tool
RectangleROIThresholdTool can be used to create a segmentation by thresholding the drawn
area by the user.
(in images below, a certain threshold is set to create a segmentation)
