Segment Locking
You can lock a segment index in a segmentation, so that it cannot be changed by any tools.
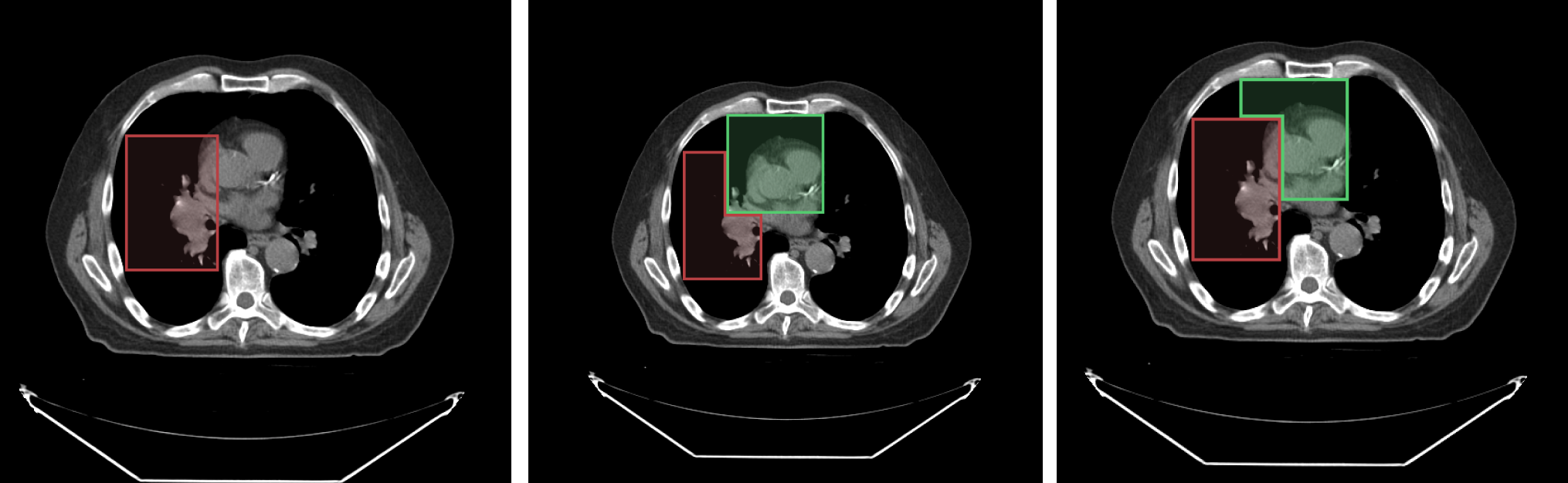
To give an example consider the following image with an overlaid labelmap.
The left image shows segment index 1, the middle image shows the result when segment index 2
is drawn on top of segment index 1, and the right image shows the result when segment index 1
is locked and segment index 2 is drawn on top of segment index 1.
As you see in the locked scenario (right image), the segment index 1 cannot be changed by the new drwaing.

API
import { segmentation } from '@cornerstonejs/tools';
// For locking a segment index on a segmentation
segmentation.locking.setSegmentIndexLocked(
segmentationId,
segmentIndex,
locked
);
// Getting all the locked segments for a segmentation
segmentation.locking.getLockedSegments(segmentationId);
// Check if the segment index in the segmentation is locked
segmentation.locking.isSegmentIndexLocked(
segmentationId,
segmentIndex
);